other
Des produits
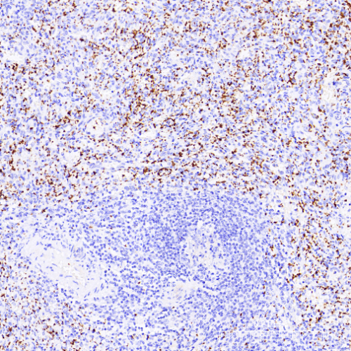
Système de détection iVision™ IHC

Système de détection iVision™ IHC

Le système de détection IHC de deuxième génération.

La HRP haute densité est marquée dans un anticorps secondaire qui ressemble à des "raisins".

Structure compacte avec une excellente pénétrabilité

Haute spécificité et sensibilité.


Nom du produit

iVision TM Poly-HRP Chèvre anti-souris, Lapin IgG 


Spécification d'emballage

Code

Caractéristiques

DD13G10

10ml

DD13G30

30ml

DD13G100

100ml


Utilisation prévue

À des fins de recherche uniquement. iVision TM Goat anti-Mouse, Rabbit IgG, conjugué à la peroxydase destiné à la détection chromogénique d'antigènes ciblés qui ont réagi à un anticorps primaire fourni par l'utilisateur sur des tissus humains. Il est recommandé de ne pas substituer les réactifs entre les kits ou les numéros de lot. 


C aractéristiques de performance 

Les systèmes de détection se sont avérés sensibles et présentent une liaison spécifique à l'anticorps primaire avec une liaison non spécifique minime ou nulle. Les systèmes de détection iVision TM se sont révélés reproductibles et cohérents au sein d'un même cycle, entre les cycles et entre les lots. Les produits ont été déterminés comme étant stables pendant les périodes spécifiées par des tests en temps réel. 


Principe _

Les antigènes dans les tissus et les cellules sont détectés en immunohistochimie (IHC) par un processus en deux étapes : la liaison d'un anticorps primaire et la détection ultérieure de cette liaison par le système de détection iVision TM . Les tissus sont sectionnés et montés sur une lame. L'anticorps primaire produit chez la souris est ensuite appliqué pour réagir avec les antigènes ciblés, suivi de l'application d'anti-souris de chèvre Poly-HRP, d'IgG de lapin pour réagir avec les anticorps primaires, et enfin, d'une solution de substrat/chromogène, telle que DAB ou AEC, qui est transformé par la peroxydase en dépôt insoluble. L'ensemble de la procédure génère un profil visible des emplacements des antigènes dans des coupes de tissus ou dans des types de cellules. 


Composants principaux

Anti-souris de chèvre, IgG de lapin, conjugué à la peroxydase


Stockage

Conserver à 2~8℃  pendant 18  mois .


Exemples d'exigences

Les tissus FFPE sont généralement coupés en sections aussi fines que 3 5 μ m avec un microtome.  Ces sections sont ensuite montées sur des lames de verre recouvertes d'un adhésif tissulaire.


Protocole

1.  Préparation de l'échantillon Déparaffiner les lames dans du xylène,, Ⅲ  pendant 5 min utes Transférer les lames une fois dans des alcools à 100 %, 100 %, 95 % , 75 %  pendant 2 min utes  respectivement. Rincer les lames avec de l'eau déminéralisée pendant 30 secondes.

2Blocage Bloquer l'activité de la peroxydase endogène en incubant des coupes dans  une solution  de H 2 O 2 à 3 % à température ambiante pendant 5 minutes pour  bloquer l'activité de la peroxydase endogène. Rincer les lames avec de l'eau déminéralisée pendant 30 secondes.

3Récupération d'antigène Chauffez le tampon de récupération d'antigène EDTA à 100 . Placer ensuite les lames dans le tampon bouilli et continuer à chauffer pendant 15 à 20 min. Refroidir naturellement pendant 30 minutes. Rincer l'échantillon avec un tampon de lavage.

4Incubation des anticorps primaires : Égoutter les lames. Ajouter l'anticorps primaire au tissu , incuber à température ambiante pendant  30 minutes . (utiliser un diluant d'anticorps ou du PBS comme contrôle) . Laver les lames dans du PBST 2 fois, 5 minutes à chaque fois. Si l'anticorps primaire est concentré, veuillez le diluer en RTU (prêt à l'emploi) conformément aux informations sur l'emballage . 

5.  Anticorps  secondaire : égoutter les lames. Ajouter l' anticorps secondaire  iVision TM Poly  -HRP Goat anti-Mouse, Rabbit IgG au tissu et incuber à température ambiante pendant 20 minutes . Laver les lames dans du PBST 2 fois, 5 minutes à chaque fois . 

6. DAB Vidanger les lames. Ajouter DAB  au tissu et incuber à température ambiante pendant 5 min. Rincer les lames avec de l'eau déminéralisée.

7. Coloration à l'hématoxyline Vider les lames. Ajouter de l'hématoxyline au tissu et incuber à température ambiante pendant 5 minutes . Rincer les lames à l'eau. Utilisez la solution acide pour la différenciation . Rincer les lames à l'eau.

8. Déshydrater : déshydrater les lames dans des alcools à 75 % , 95 % et 100 %  pendant 2 minutes .  Séchez les lames. Couvrir le tissu taché avec une lamelle en utilisant un milieu de montage.


R ésultats attendus _ 

L'utilisation appropriée de ce réactif entraînera une coloration intense et claire au niveau des sites antigéniques à la fois dans l'échantillon et dans le contrôle positif. Tout écart par rapport à ces résultats attendus doit inciter les utilisateurs à remettre en question les résultats et à consulter le service technique ou le distributeur local pour obtenir de l'aide.


Précautions

1.  Veuillez lire attentivement les instructions et vous familiariser avec tous les composants du kit avant utilisation. Suivez strictement les instructions pendant le fonctionnement.

2.  NE PAS utiliser le kit ou tout composant du kit après leur.

3.  Seuls les professionnels formés peuvent utiliser ce kit. Veuillez porter une blouse de laboratoire et des gants jetables appropriés lors de la manipulation des réactifs.

4.  Éviter tout contact de la peau, des yeux et des muqueuses avec les produits chimiques.

5.  NE PAS pipeter à la bouche.

6.  Les réactifs non utilisés, le kit usagé et les déchets doivent être éliminés conformément aux réglementations locales.


Fabricant _

Nom de la société : Xiamen Talent Biomedical Technology Co., Ltd

Adresse : No. 3rd and 4th Floors, Building B10, No. 2068 Wengjiao Road West, BioMedical Park, Haicang District, Xiamen City, 36100 China

Tél : +86 592 6315755            

Courriel : tlsw@talentbiomedical.com                

Site Web : www.talentbiomedical.com


Symboles












# Laisser un message
Si vous êtes intéressé par nos produits et souhaitez en savoir plus, veuillez laisser un message ici, nous vous répondrons dans les plus brefs délais.
soumettre
#
Produits connexes
Voir plus
Histology and Cytology Slide Racks Histology and Cytology Machine Slide Racks
Talent’s Machine Slide Racks, installed by manufacturers around the World, offer laboratory managers a cost-effective solution substantially below other manufacturers’ prices. Engineered to world class standards from a Polyceramic process developed in our workshops, our racks are extremely rigid and highly resistant to solvents up to 200°C. Just drop one on concrete and hear the difference!
Colorateur IHC automatique TALENT™ fully automatic IHC stainer
Solution de coloration unique pour le laboratoire de pathologie
IHC Anticorps -- Human Chorionic Gonadotropin Human Chorionic Gonadotropin Antibody Reagent for Immunohistochemistry
IHC Anticorps -- Human Chorionic Gonadotropin
Réactif anticorps MUM1 pour l'immunohistochimie MUM1 Antibody Reagent for Immunohistochemistry
Réactif anticorps MUM1 —— Anticorps primaire
Réactif d'anticorps WT1 pour l'immunohistochimie WT1 Antibody Reagent for Immunohistochemistry
Réactif anticorps WT1 —— Anticorps primaire

Laisser un message

Laisser un message
Si vous êtes intéressé par nos produits et souhaitez en savoir plus, veuillez laisser un message ici, nous vous répondrons dans les plus brefs délais.

Maison

Des produits

à propos

contact